By: Jordan Gaines Lewis, 3rd year PhD candidate in the Neuroscience Program
During my first year at Penn State College of Medicine, I participated in an MRI research study. I laid in an MRI machine for 45 minutes and looked at pictures of chocolate while smelling chocolate odors. Tough life, right?
(Hershey really is the sweetest place on Earth…even in the labs!)
The MRI machine is rather big, rather loud (I wore headphones), and…rather claustrophobic. But it operates on a rather GENIUS principle!
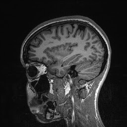
My brain was imaged every two seconds. Eventually, the images were overlaid to create a complete picture of my brain, so it was important that I remain very still.
Some of you may have undergone an MRI so a doctor could examine a particular body part due to injury or to diagnose a problem. The MRI machine works on the principle of magnetism. Essentially, the images you’re seeing are comprised of the nuclei of the atoms in your body.
The protons of the nucleus (shown in green) are positively-charged. When exposed to the very powerful magnet of the MRI machine, the protons of your atoms become aligned with the direction of the magnetic field.
A radio frequency transmitter is repeatedly turned on and off, which produces an electromagnetic field and causes the protons to spin in the opposite direction. This change causes a radio frequency signal to be generated, and is detected by coils in the machine.
Contrary to popular belief, the MRI is a very safe procedure that does not give off ionic radiation (like X-rays).
The images are taken in slices beginning from the outside and working its way in—that’s why my brain structures look smaller or bigger in some areas, and why my nose doesn’t show up until the end. And now, without further ado…my brain!
Eventually, when the lab technicians overlaid these images, they were able to create a 3D image of my entire brain, which might have looked something like this:
Pretty cool, huh?





It’s awesome that this article talked about how the process called MRI could get images inside our body and produce a 3D result of the organ that was scanned. It’s kind of scary for me when I hear medical terms, but this was kind of cool. Maybe, I wouldn’t be that anxious if ever I undergo one because I would remember your article talking about this technology. Thanks for the information!