By Makenzie Nolt

In 2024, there were seemingly never-ending weather- and-climate related disasters (Figure 1). The increased frequency and severity of these devastating events is the consequence of climate change, driven by elevated emissions of greenhouse gases such as carbon dioxide (CO2), methane (CH4), and nitrous oxide (N2O). As more gases are produced, they become trapped in the atmosphere, causing warmer temperatures and rising sea levels, which in turn intensify extreme weather patterns such as flooding, droughts, and wildfires1,2. In 2018, a report released by the United Nations warned about the dangers of surpassing a global average temperature of 1.5°C above pre-industrial levels. This threshold represents a scientific benchmark beyond which the risks and impacts of climate change become increasingly severe and harder to adapt to3. Unfortunately, the World Meteorology Organization recently reported that in 2024 the average global temperature surpassed this global warming limit, rising to 1.55°C above pre-industrial levels. Therefore, dramatic changes are needed to curb climate change and protect the planet. To this end, an international coalition of researchers recently discovered a potentially climate-saving cyanobacterium off the coast of Italy4.
Cyanobacteria’s potential to fight climate change
Cyanobacteria, previously called blue-green algae, are microscopic organisms frequently found in freshwater ecosystems5. They conduct oxygenic photosynthesis, or the conversion of sunlight, CO2, and H2O into oxygen and organic matter, which sustains life on Earth by providing oxygen and a carbon-rich food source6. Cyanobacteria are also one of few organisms that can fix, or convert, atmospheric nitrogen into ammonia and nitrate for plants and other organisms to use as essential building blocks for proteins7. Cyanobacteria’s native functions could be useful in the fight against climate change. Their photosynthetic and nitrogen-fixing capabilities can help reduce the buildup of greenhouse gases in the atmosphere8. Cyanobacteria also have low requirements for growth only needing sunlight, CO2, and some nutrients, making them a sustainable option for biomanufacturing biomaterials8,9.

Sustainable solutions through biomanufacturing
Biomanufacturing is the process of using renewable resources to produce carbon neutral or negative products like biofuels and bioplastics for commercial use9,10. Instead of fossil fuels, biomanufacturing utilizes organisms such as plants, bacteria, yeast and algae11. Compared to traditional manufacturing practices, biomanufacturing may reduce excess waste, carbon emissions, and overall help industries implement environmentally-conscience practices. Cyanobacteria have already been used to produce bioproducts such as bioconcrete and carbon-capture biocomposite material (Figure 2)10.Bioconcrete is a potential alternative to traditional concrete, which produces around 8% of total CO2 emissions annually10. Carbon-capture biocomposite serves as a substitute for composite materials, which are used widely in commercial products across the construction, automotive, and aerospace industries. Carbon-capture biocomposite could remove atmospheric CO2 and transform it into biofuel, a sustainable and renewable alternative to fossil fuels10. However, biomanufacturing is still in the early stages of development, so new methods, technologies, and candidate organisms are necessary to make it an industry standard.
Discovering Chonkus
Hypothesizing that cyanobacteria could be the key to biomanufacturing, a group of researchers from the United States and Italy set out to identify new candidate species4. The team traveled to the Italian island of Vulcano, where underwater volcanic vents result in a high concentration of dissolved CO2, making it an ideal environment for cyanobacterial growth. From seawater samples, the researchers identified two novel species of cyanobacteria, UTEX 3154 and UTEX 3222. Of the two, UTEX 3222, a mutated strain of the cyanobacteria species S. elongatus, demonstrated some uncommon- but potentially useful- characteristics. This cyanobacterium grew rapidly, absorbed large quantities of CO2, and sank to the ocean floor. UTEX 3222 was abnormally large compared to other cyanobacteria, leading researchers to grant it the name Chonkus. Chonkus also exhibited a unicellular, or planktonic, growth pattern which allows for easier comparison between species, more efficient use of light, and contributes to the rapid sinking abilities. These unique features of Chonkus stood out to the researchers, as they could prove useful in bioproduction, combating climate change, and serving as an interesting new lab model for study.
How Chonkus can revolutionize biomanufacturing
With Earth’s temperatures rapidly rising, it is increasingly urgent to find a solution to slow or stop the
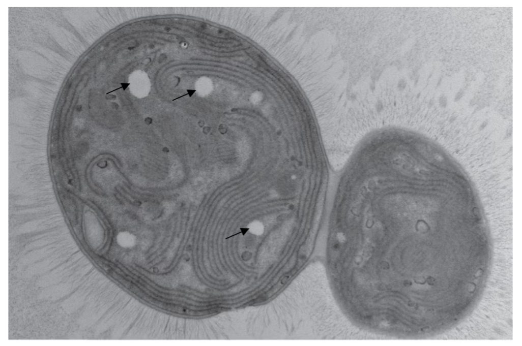
progression of climate change. Luckily, Chonkus has several characteristics that can be utilized to help achieve this goal4. Due to the harsh environment of volcanic vents where it originated, Chonkus is resistant to most environmental stressors. In fact, the cyanobacterium’s ideal growing conditions are warm temperatures, plenty of light, and lots of CO2, making Chonkus perfect for the changing climate on Earth. Chonkus also contains carbon storage granules which can sequester large quantities of carbon from the environment, providing a mechanism for CO2 removal from the atmosphere and oceans (Figure 3)4,12. Additionally, Chonkus’s rapid growth rate allows it to form dense colonies, that, along with it’s unique sinking capabilities, create a thick layer called a biofilm. Biofilm is much easier to collect during cultivation compared to a material that remains suspended in liquid and requires filtering, potentially leading to large-scale biomanufacturing (Figure 4). While the generation of biomaterials utilizing other cyanobacteria species is ongoing, using Chonkus, with its superior abilities to sequester CO2 and form a biofilm, may give biomanufacturing the boost needed to bring it to a global scale.

The discovery of Chonkus is exciting, as the novel cyanobacterium may prove to be a valuable resource in combating climate change. However, further research is needed to fully understand Chonkus’ efficacy. For example, the study detailing the discovery of Chonkus noted that there can be significant variability in the analysis of cyanobacterium due to their sensitivity to environmental conditions4. Thus, repeating the experiments examining Chonkus’ unique capabilities and further analysis into Chonkus’ molecular composition will provide a deeper understanding of how it may perform in biomanufacturing. Nevertheless, continued efforts to develop new methods for combating climate change are essential for the protection of Earth and its future.

TL; DR
- A new cyanobacterium was discovered and dubbed Chonkus.
- Chonkus exhibits properties that could combat climate change.
- More research is required to determine its efficacy in biomanufacturing.
Reference
- Filonchyk, M., Peterson, M. P., Zhang, L., Hurynovich, V. & He, Y. Greenhouse gases emissions and global climate change: Examining the influence of CO2, CH4, and N2O. Sci. Total Environ. 935, 173359 (2024).
- Bolan, S. et al. Impacts of climate change on the fate of contaminants through extreme weather events. Sci. Total Environ. 909, 168388 (2024).
- Tollefson, J. Earth breaches 1.5 °C climate limit for the first time: what does it mean? Nature 637, 769–770 (2025).
- Schubert, M. G. et al. Cyanobacteria newly isolated from marine volcanic seeps display rapid sinking and robust, high-density growth. Appl. Environ. Microbiol. 90, e00841-24.
- Drews, G. The Evolution of Cyanobacteria and Photosynthesis. in Bioenergetic Processes of Cyanobacteria 265–284 (Springer, Dordrecht, 2011). doi:10.1007/978-94-007-0388-9_11.
- Nelson, N. & Ben-Shem, A. The complex architecture of oxygenic photosynthesis. Nat. Rev. Mol. Cell Biol. 5, 971–982 (2004).
- Herrero, A., Muro-Pastor, A. M. & Flores, E. Nitrogen Control in Cyanobacteria. J. Bacteriol. 183, 411–425 (2001).
- Satta, A., Esquirol, L. & Ebert, B. E. Current Metabolic Engineering Strategies for Photosynthetic Bioproduction in Cyanobacteria. Microorganisms 11, 455 (2023).
- Zeng, A.-P. New bioproduction systems for chemicals and fuels: Needs and new development. Biotechnol. Adv. 37, 508–518 (2019).
- Goodchild-Michelman, I. M., Church, G. M., Schubert, M. G. & Tang, T.-C. Light and carbon: Synthetic biology toward new cyanobacteria-based living biomaterials. Mater. Today Bio 19, 100583 (2023).
- Ali, A., Usman, M., Jayamani, E., Soon, K. & Wahab, M. K. bin A. Sustainable Biomanufacturing. in Biomedical Implants (CRC Press, 2024).
- Cassia, R., Nocioni, M., Correa-Aragunde, N. & Lamattina, L. Climate Change and the Impact of Greenhouse Gasses: CO2 and NO, Friends and Foes of Plant Oxidative Stress. Front. Plant Sci. 9, 273 (2018).