By Jude B. Khatib
Artificial intelligence (AI) is a field of computer programming that aims to teach machines to perform basic human cognitive functions such as self-learning, problem-solving, and reasoning. Algorithms, which can be defined as a list of rules or procedures that the AI can follow to solve a problem, are the most essential part of an AI. To establish algorithms, scientists feed a great amount of information and datasets along with a set of rules to the machine. As such, scientists aim to create software that can mimic a human brain. The goal of AI, much like the goal of many humans, is to use past information to predict and improve the future; AI simply builds up on this concept, seeking to use vast information inputs to make complex, calculated choices to achieve desired outcomes.
Interestingly enough, the idea of AI was first developed in the early 1900s, when philosophers were interested in creating objects that could move and function independently. The first actual self-thinking machine was developed by the English mathematician Alan Turing to decipher codes during World War II. However, with the growing interest in AI, scientists have developed more complex systems to make AI relevant to the modern day – for example, Siri and Alexa. While we have mainly seen AI incorporated in areas such as financial services, virtual assistance, and product development, more efforts are focused on employing AI in medicine. AI has great potential for use in disease prediction, risk- and success-assessment of treatment regimens, and technical advancements.
Cancer, a multifaceted disease whose treatment we have been chasing for the past 250 years, remains an ongoing health burden despite the groundbreaking treatments and research discoveries we have achieved in recent years. Cancer is a leading cause of death worldwide. Although much progress has been made throughout the years with cancer diagnosis and treatment, it still is “smarter” than humans and persists to return more intelligently. That is to say: cancer can’t think, but like anything alive, it adapts to changing environments to strive for survival, so even as we keep developing treatments, some versions of this disease adapt and continue to evade us. However, with the growing power of AI, scientists have shown that it can be implemented to improve cancer prevention, diagnosis, and overall survival (Figure 1).
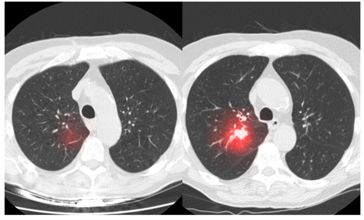
Starting with cancer prevention and early diagnosis, AI can be used for the analysis of clinical imaging to further help in the detection of the tumor (Figure 2). Other information gleaned from AI can be informative disease projection – estimating how the disease will progress – and the predicted efficacy of therapy. For an example of how AI can improve current medical practices, consider this: early detection of various cancer through conventional screening has various limitations. However, AI can be used for tumor screening by creating prediction models for each patient and identifying potential biomarkers (or alterations in cells or genes) that increase the risk of cancer. To illustrate another scenario, researchers at the National Cancer Institute (NCI) built algorithms to identify pre-cancerous cervical cells that need to be treated or removed. This algorithm, in some cases, is considered more effective and accurate than manually checking the cervix. AI algorithms were also able to predict the risk of patients developing breast cancer by analyzing and interpreting the patient’s mammogram.

Another exciting medical application of AI is drug delivery. In one example, a team of scientists was able to develop AI-powered nanoparticles by integrating AI algorithms into those nanoparticles. Nanoparticles are tiny capsules that carry drugs to be delivered precisely to only the needed location, such as a tumor. These AI-powered nanoparticles can adapt to the tumor microenvironment and accurately deliver the drug to target cells. AI also enables and powers personalized medicine by tailoring nanoparticle treatments to individuals. By feeding the AI large data sets of information, the nanoparticle is then able to adapt according to the requirements of the patients. These AI-powered nanoparticles can incorporate algorithms that can monitor and analyze how tumors respond to treatments in real time. As such, physicians can get the data and further decide on the treatment regimen more accurately.
Although there have been great advancements in implementing AI in medicine, there are still major limitations for the technology that are proving to be challenging to solve. For instance, in some cases, AI has shown to be error-prone, giving false predictions or misinterpreting image-based medical diagnoses compared to the analysis of physicians. Furthermore, the output of AI is dependent on the information and datasets the scientists use to train the software. This can pose further challenges in attempts to lower medical treatment disparities and increase health equity, since a large number of datasets are compiled from patients from limited demographics. Lastly, AI requires massive computing power and advanced microchips, resources which are currently limited to wealthy countries, making it difficult for the developing world to utilize AI in medicine.
AI is a fast-growing field that is making our daily lives easier to navigate. Scientists have already made a lot of progress in incorporating AI into medicine. We are continuously growing our understanding of the power of AI and how it can help detect and manage disease with greater sophistication and accuracy. By analyzing large amounts of data, AI can give accurate predictions of complex situations – a kind of decision-making that surpasses human capability. AI in medicine still has a wide range of limitations and in some cases may not be very practical; however, it has great potential to become a first line of treatment for many diseases, including cancer.
TL;DR
- AI is a powerful tool that scientists are trying to integrate into medicine
- AI is proving to be a very efficient tool for cancer prediction, diagnosis, and creation of treatment regimens
- Implementing AI into nanoparticle technology enables the real-time monitoring of tumors and their response to treatment, helping physicians understand how to adjust treatment plans
- Although more work is needed to further establish the use of AI in medicine, scientists have made great progress in proving that AI is an essential tool for improved medical care
